This is a composite image showing medical equipment and supplies, including a stethoscope, blood pressure cuff, tongue depressors, and other instruments, arranged in a manner that suggests they are part of a medical examination or procedure. The background is a solid color to emphasize the items.

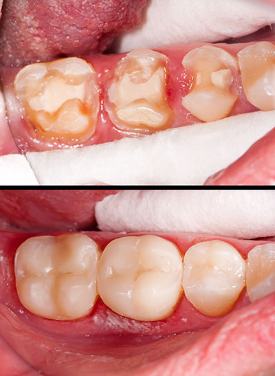
Composite or “Tooth Colored” Fillings

With advances in dental materials and science, restorative materials that are aesthetically pleasing as well as strong and durable are widely available for the filling and repair of teeth that have been affected by tooth decay or dental injuries.

Composite fillings, which are frequently referred to as either “tooth colored fillings” or “white fillings,” are a combination of biocompatible resins and finely ground, glass-like filler materials. Composite fillings, which are manufactured in a complete range of natural looking shades, provide a more cosmetically pleasing alternative to traditional “silver” fillings. Often used to fill a tooth by replacing tooth structure that is missing due to injury or decay, dental composites can also be placed to modify a tooth’s color or shape to dramatically improve its appearance as well as repair dental defects and close gaps between the teeth.

The composite systems used by dentists today integrate the highest quality of microfill particles and resin materials to produce restorations that can withstand the forces generated by all manner of oral function, while achieving attractive, natural looking and long-lasting results. Composite restorations are adhered to the underlying tooth structure through a bonding process, which also serves to seal and strengthen the tooth. Once a composite restoration is placed and is “set” or “cured”, the dentist can refine its shape as well as smooth and polish it to maximize patient comfort. This also helps to prevent the restoration from staining and to avoid premature wear. Besides providing a pleasing match to your natural tooth color, a composite restoration has other advantages over other types of restorations. Composite fillings do not require the removal of as much tooth structure to facilitate placement, nor are they subject to expansion or contraction with temperature changes as is the case with dental amalgams. However, the one drawback is that composite restorations may be more vulnerable to wear and stains over time and can require replacement down the road.

Overall Wellness Starts with a Healthy Smile

A healthy smile is a foundation for a healthy life. Since issues in your mouth can directly impact your overall health, we place a high value on early intervention and consistent routine care. We empower every patient with the personalized resources and attention required to maintain optimal oral health, supporting wellness from the inside out.

Your Home for Health

Discover the difference of dentistry where expertise meets a genuine commitment to your comfort. We're proud to offer comprehensive care for the whole family. Our supportive team is standing by, happy to clarify your options, share information, and help you book your next appointment. Give us a call today—it's time to experience the high-quality, personalized care you've been searching for!

Office Hours

Monday
9:00 am - 5:00 pm
Tuesday
9:00 am - 5:00 pm
Wednesday
9:00 am - 5:00 pm
Thursday
9:00 am - 5:00 pm
Friday
9:00 am - 5:00 pm
Saturday
9:00 am - 3:00 pm

Office Hours

Monday
9:00 am - 5:00 pm
Tuesday
9:00 am - 5:00 pm
Wednesday
9:00 am - 5:00 pm
Thursday
9:00 am - 5:00 pm
Friday
9:00 am - 5:00 pm
Saturday
9:00 am - 3:00 pm

Office Hours

Monday
7:00 am - 7:00 pm
Tuesday
7:00 am - 7:00 pm
Wednesday
7:00 am - 7:00 pm
Thursday
7:00 am - 7:00 pm
Friday
8:00 am - 5:00 pm
Saturday
9:00 am - 3:00 pm

Office Hours

Monday
9:00 am - 6:00 pm
Tuesday
9:00 am - 6:00 pm
Wednesday
9:00 am - 6:00 pm
Thursday
9:00 am - 6:00 pm
Friday
9:00 am - 6:00 pm
Saturday
9:00 am - 6:00 pm
Sunday
9:00 am - 6:00 pm

Contact Us